Topics
What is an ankle fracture?
An ankle fracture is a break in one or more of the bones that make up the ankle.
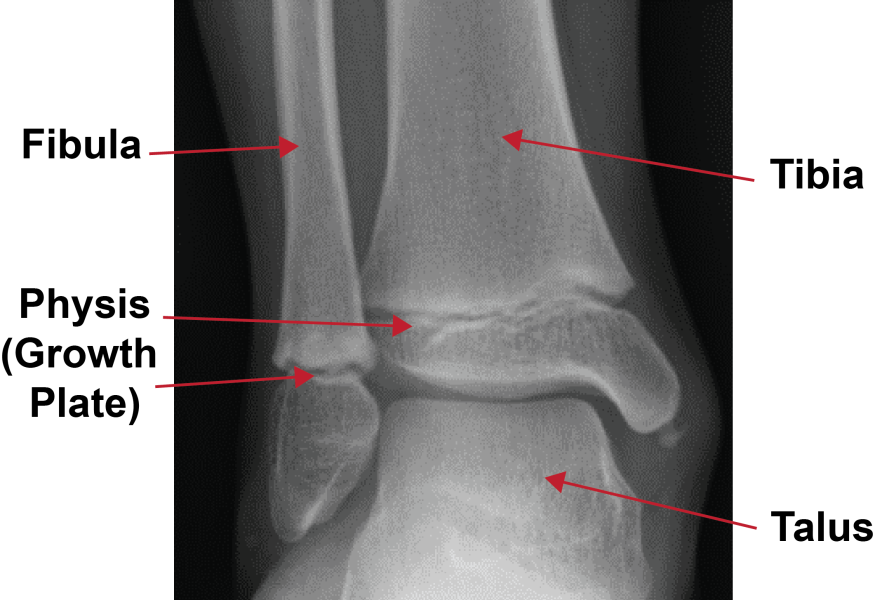
The ankle is made up of three bones: the tibia (shin bone), the fibula (calf bone) and the talus (part of the ankle joint). In children and teens, an ankle fracture can damage the growth plates at the end of each leg bone. Any growth plate fracture can have long-term effects. It is important to see a doctor quickly.
An ankle fracture is usually caused by twisting the ankle joint during sports or other activities. Ankle injuries happen more often in sports that involve jumping and side to side movements.
How do you diagnose an ankle fracture?
The physician will discuss the patient’s medical history and ask many details about the injury. The next step will be a physical exam that will look for:
- Swelling and tenderness
- Bruising
- Abnormal ankle shape
- Cuts or openings in the skin
Tests:
X-rays
An X-ray is the most common way to look at an ankle fracture. The physician also looks at the growth plates to check for injury.
The arrows on this X-ray show the growth plate fractures.
MRI (Magnetic Resonance Imaging):
A type of scan that may be used if the fracture cannot be seen in enough detail on the X-ray. The physician may need a better picture of both the ankle bones and the ligaments around the ankle.
CT Scan (Computed Tomography):
A type of scan that may be used if the ankle fracture goes into the ankle joint. The physician may need even more detailed information such as measurements of the bones to decide if surgery is needed.
What is the treatment for ankle fractures?
Treatment of ankle fractures is based on several factors such as:
- The location of the fracture on the ankle
- The type of fracture
- The damage to the growth plate, if there is any
Usually, an ankle fracture will be treated with a cast or walking boot. It is important to restrict ankle movement to heal correctly.
Surgery may be needed if there is too much movement in the broken bones.
X-ray image of ankle fracture after surgery.
It can take 6 to 12 weeks for an ankle fracture to heal. Sometimes it can take even longer. Returning to sports or other activities can take 3 to 6 months depending on the how bad the fracture was and where the fracture occurred on the ankle. Physical therapy or exercises may be recommended to improve ankle movement and to build ankle strength. Physical therapy should only be done after the cast or walking boot has been removed and before returning to sports or other activities.


