Lissencephaly: A Rare Neurological Disease

If you’re a sports fan, you may have read recently that Bill O’Brien was hired as head coach by the Houston Texans. An article in the Houston Chronicle detailed the O’Brien’s family life, including their 11 year old son’s struggle with a rare neurological disorder, lissencephaly. Affecting just one in 100,000 children, lissencephaly (sometimes known by its literal translation as “smooth brain”) is typically caused by a chromosomal deletion in a baby that occurs during a woman’s pregnancy and prevents the brain from developing normally. It can cause severe developmental disorders and seizures, and most children require 24/7 care.
There is no cure for the condition and life expectancy is greatly reduced. Children with this condition are limited to a sedentary lifestyle and as a result of this, often experience medical complications, including lung problems. Many children affected by lissencephaly also fail to thrive, experience muscle spasticity and/or hypotonia and may have an unusual facial appearance, difficulty swallowing, and anomalies of the hands, fingers, or toes. As a pediatric neurologist, I have treated about two dozen patients with this devastating condition and some of my research efforts are also focused in this area. In fact, in 1982, researchers right here at Texas Children’s Hospital discovered a deletion on the 17th chromosome that causes lissencephaly. Though the outcomes for these patients are not good due to the terminal nature of this illness, children
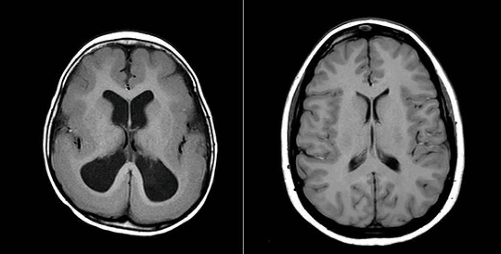
with lissencephaly are living longer due to therapies and better management of their condition so families have to make plans for the long-term care of their children. These photos illustrate the differences between a brain affected by lissencephaly (left) and a normal brain (right). For more information about Texas Children's Neurology Department, visit here. And to watch ABC 13 KTRK's news report, visit here.